MARKETS WE SERVE
*Not for Sale in the USA*

medical excellence
Enhancing Outcomes.
brAInray® is built to support medical excellence—helping radiologists detect breast cancer at the earliest possible stage and delivering the best patient outcomes.

diagnostic support
Confident Decisions.
brAInray® works alongside radiologists as a powerful concurrent reading aid—offering an extra layer of assurance, reducing oversight, and supporting faster, more confident diagnoses.

HIGH-PERFORMANCE AI
Trained on 500,000+ Studies. Getting Smarter Every Day.
brAInray® is powered by a cutting-edge algorithm, trained on 500,000+ mammography studies, and continuously evolving with every new case. The result? A system that adapts, learns, and delivers unmatched accuracy.
what is brAInray® afterall?
brAInray® is an advanced AI-powered diagnostic assistant designed to support Radiologists in their daily workflow and elevates diagnostic confidence to help them focus on what matters most—early, accurate detection and better patient outcomes.
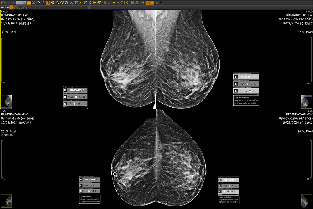
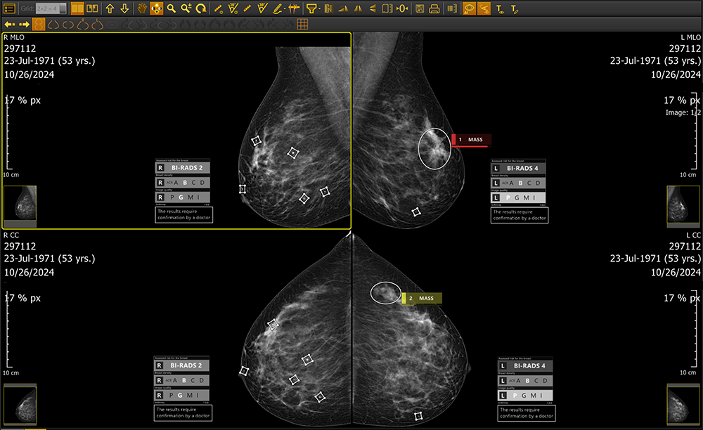
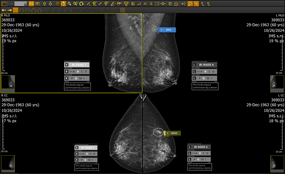
Whether deployed on-site or via the cloud, brAInray® seamlessly integrating with any PACS system, brAInray® analyzes full-field digital mammograms (FFDM) to detect and mark suspicious regions—highlighting calcifications, masses, asymmetries, and architectural distortions. It categorizes findings using ACR BI-RADS® standards and delivers automatic structured DICOM reports for clear, consistent clinical insights.

medical excellence
Empowering Radiologists.
Enhancing Outcomes.
brAInray® is built to support medical excellence—helping radiologists detect breast cancer at the earliest possible stage and delivering the best patient outcomes.

diagnostic support
Confident Decisions.
brAInray® works alongside radiologists as a powerful concurrent reading aid—offering an extra layer of assurance, reducing oversight, and supporting faster, more confident diagnoses.

HIGH-PERFORMANCE AI
Trained on 500,000+ Studies. Getting Smarter Every Day.
brAInray® is powered by a cutting-edge algorithm, trained on 500,000+ mammography studies, and continuously evolving with every new case. The result? A system that adapts, learns, and delivers unmatched accuracy.
what is brAInray® afterall?
brAInray® is an advanced AI-powered diagnostic assistant designed to support Radiologists in their daily workflow and elevates diagnostic confidence to help them focus on what matters most—early, accurate detection and better patient outcomes.
Whether deployed on-site or via the cloud, brAInray® seamlessly integrating with any PACS system, brAInray® analyzes full-field digital mammograms (FFDM) to detect and mark suspicious regions—highlighting calcifications, masses, asymmetries, and architectural distortions. It categorizes findings using ACR BI-RADS® standards and delivers automatic structured DICOM reports for clear, consistent clinical insights.
the science behind brainray
Maximize Efficiency & Patient Outcomes with brAInray®
For Hospitals, Clinic owners and Radiologists, brAInray® is more than just a diagnostic aid—it’s a powerful investment in your practice’s future. By integrating advanced AI-driven analysis into your mammography workflow, brAInray® accelerates detection times, reduces human error, and supports earlier diagnoses, ultimately leading to improved patient outcomes. Clinics benefit from optimized resource allocation, reduced recall rates, and increased throughput—translating directly into saving precious time.

Ready to Elevate Your Imaging Capabilities?
Partner with Medical Scientific to bring advanced mammography and diagnostic imaging technologies to your market. Gain access to AI-driven technology, responsive support, and a team committed to your success.

